




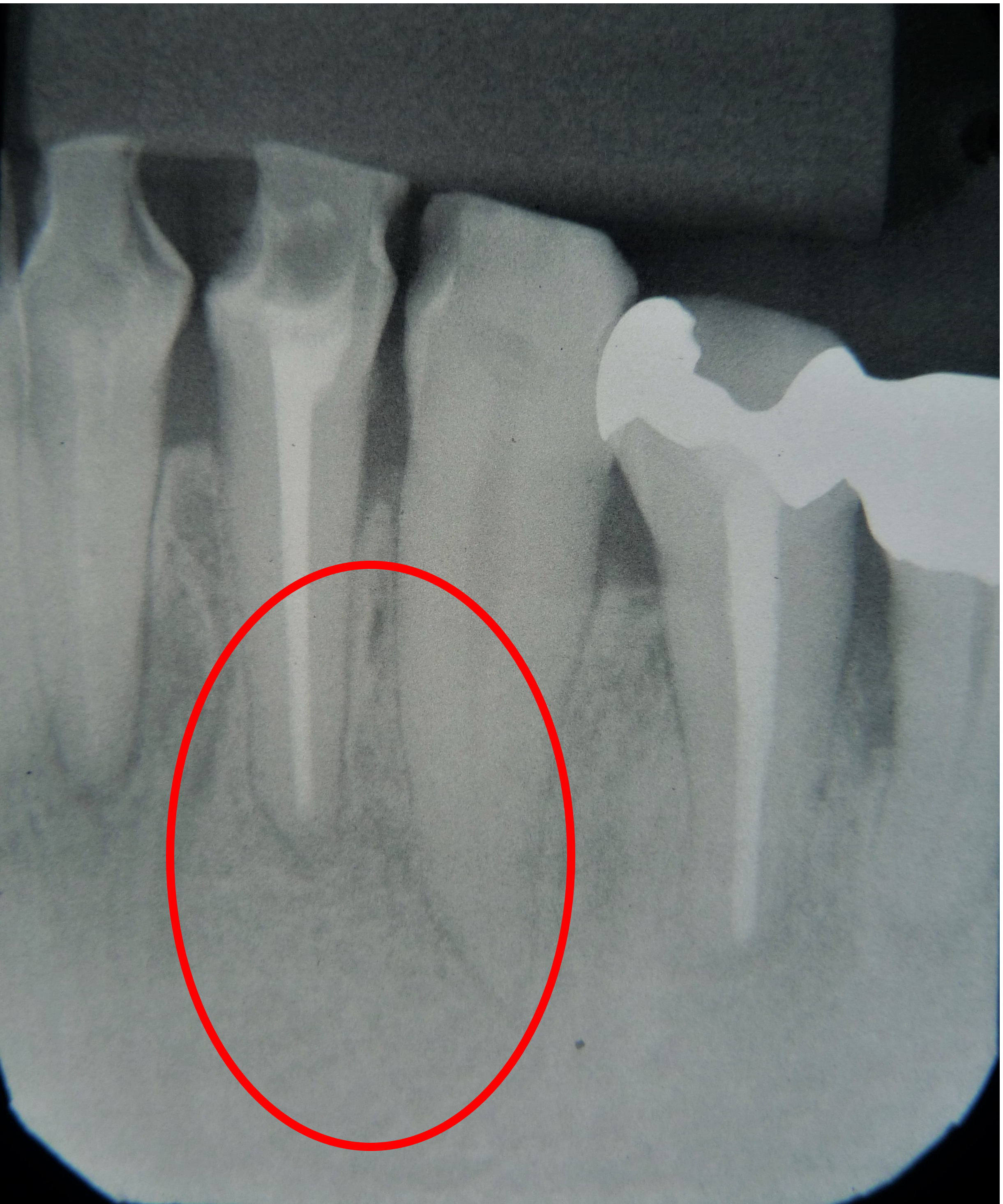
レントゲンで黒い部分が大きいので
手術をしました。
術後わずかに黒い名残がありますが、
黒い部分はほとんどなくなりました。











虫歯が大きくなって、歯の中の神経に達するとひどい痛みが生じます。この場合は歯の神経を
取り除かないと痛みは引きません。
神経を取った後に重要なのは、神経を取った空隙にしっかりと薬をつめることです。
この薬がきちんとつめられていないと、細菌が繁殖して数年後に化膿してしまうことがあります。
前歯か奥歯かによって神経の本数が異なります。
本数が多い方が治療の時間、期間がかかります。
また神経が真っすぐ走行しているか、カーブしているかによっても治療の時間が変わってきます。
カーブしている方が時間がかかります。
1回の治療で終わることもありますが、4〜5回かかることもあります。
一般歯科・インプラント・審美歯科・レーザー・ホワイトニング・小児歯科・予防
前歯の虫歯のために神経を取りました。
神経は1本です。
レントゲンで白く写っているのが薬です。
薬が根の先まで入っていないと、将来化膿
してしまう恐れがあります。



歯科の内容のブログです

痛みが続いたため、右側の根のみ
抜歯しました。
左側の根の先は白くなりましたが
右側の根の先は黒さが残って
います。


かなり治っていますが、根の先が
わずかに黒く見えます。
まだ完全に治ったとはいえません。
まったく自覚症状がなく、レントゲンで発見された例です。
術後完全に治っています。







中間の歯の虫歯です。
レントゲンでは神経が1本に
見えますが実際には2本あります。
前歯の神経は1本です。
まれに2本のことがあります。
神経の通っていた空隙(歯髄腔)に細菌が繁殖すると、歯の根の先の部分が化膿します。
初期の段階では症状はありません。化膿が進行すると痛みが生じたり歯ぐきが腫れたりします。
化膿しているかどうかはレントゲンを撮ると確実に分かります。
治療操作は神経を取る治療と同じです。
細菌や膿を完全に取り除かないと数年後に再発してしまうことがありますので、
歯の根の中を徹底的に清掃する必要があります。
治療期間は2ヶ月〜6ヶ月です。
・診療内容についてのご質問は
こちらへ
・ご予約はお電話にて
お願い致します.
改善していますが、黒い部分が残っています。
こういう場合再発する恐れがあります。
奥歯の虫歯です。
神経が3本あります。
黒い部分がなくなり白く
写っています。
完全に治った証拠です。
根の先が化膿して、レン
トゲンで黒くなっているの
がわかります。
根の先ではなく、根の途中に化膿が
生じることもあります。
レントゲンで歯の根の先が化膿しているのが発見されることはよくあることです。
この病気(根尖病巣)はゆっくりと進行するので、化膿の範囲が小さい時は急いで治療する必要は
ありません。
虫歯と同様、進行しているのか進行が止まっているか見極めてから治療すればよいです。
ただ大きくなると手術になってしまうこともありますので、定期的に大きさをチェックする必要が
あります。
痛みや腫れが生じたり、レントゲンで進行しているのが確認された時が治療時期といえます。
前歯と奥歯の中間の歯の神経は
1〜2本です。
奥歯の神経は3〜4本です。
レントゲンでは重なって見える時が
あり、2本しかないように見えること
もあります。
根の中をきちんと清掃しても化膿が治らないことがまれにあります。また一度治ったように思えて
も再発してしまうこともあります。
このような時は手術をして膿を取り除く必要があります。
また化膿の範囲が大きい場合(レントゲンで直径2cm以上)は最初から手術の適応になります。
根の治療には、「歯の神経を取る治療」と「歯の根の中を清掃する治療」の、2種類があります。
日常を綴ったブログです
歯の中には神経が通っています。
下の図の赤く塗りつぶした部分が神経の通る空隙(歯髄腔)です。
神経は歯ぐきに隠れた歯の根の中にあるので、一般的に「根の治療」といいます。
Obata Dental Clinic