

小さい虫歯は進行中でも治療はしません。
進行が止まるような努力をして(歯磨きの仕方、定期的なクリーニングなど)経過を見ます。
半年〜一年後にもう一度レントゲンを撮って進行の具合を観察し治療するかどうか決めます。

〒141−0021
東京都品川区上大崎2−15−19
      MG目黒駅前ビル 1F
TEL 03−6303−6111
FAX 03−6303−6100
歯科の内容のブログです
治療が終わってもその後虫歯にならないような規則正しい生活習慣を心がけましょう。
甘いものの摂り方の工夫、歯磨きの仕方(デンタルフロスの使用)、定期健診、
専門的なクリーニングなど日頃のお口のケアによって虫歯にならないように、
なっても進行しないようにすることができます。

歯の色と合わせることによって自然観をだします。
ツヤが長期的に持続し、もっとも美しい歯をつくることができます。
瀬戸物と似た素材であるため、割れる危険があります。

4年半後に虫歯の治療をしました。
最小限に削ることで対応ができました。
またこの4年間で虫歯を予防するコツを
つかみました。
虫歯が大きくてレジンでは対応できない場合に用います。
どんな大きさの虫歯にも対応できます。
歯よりも硬いため噛むときの衝撃が歯に直接加わることと、
咬み合わせに適応させづらいことが欠点です。
(金銀銅パラジウム合金、保険適応)
(歯科用プラスティック、保険適応))



一般歯科・インプラント・審美歯科・レーザー・ホワイトニング・小児歯科・予防


神経をとらずに治療できましたが、
危ないところでした。
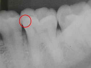
虫歯が発見されました。
小さいので経過を見ることに
なりました。
6年後、歯が痛くなりました。
レントゲンで調べるとかなり
虫歯が大きくなってしまいました。



4年経ちました。
黒い部分が大きくなったきたので
そろそろ削って治療することを考えます。
虫歯の発見から4年削らずにすみました。

セラミックとレジンの中間の性質をもっています。
割れる危険はほとんどありませんが、セラミックほどのツヤはありません。
金歯よりもやわらかいため、噛んだ時の衝撃が直接歯に加わらないという
メリットがあります。
(ハイブリットセラミック、自費治療 40,000円〜)
(セラミック、自費治療 60,000円〜)
・診療内容についてのご質問は
          こちらへ
・ご予約はお電話にて
      お願い致します.
(白金加金、自費治療 80,000円〜)
ポカリスエット、午後の紅茶、飲むヨーグルト、ジョージアコーヒーのスクロース量が目立ちます。
ただ、どのメーカーも砂糖の少ない、あるいは入っていない商品も開発しているようです。虫歯になりやすい人はそういう飲み物を選んだ方が良いと思います。
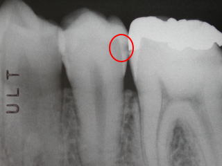
虫歯が発見されました。
初期なので経過を見ること
にしました。
1年経ちました。
1年経っても変化がないので
続けて経過をみることになりました。
2年経ちました。
黒い部分がはっきりしてきましたが
予防に努めました。
| 甘味成分 | 全糖量 | グルコース量 | スクロース量 | |
| 【炭酸飲料】 | ||||
| コカ・コーラ 350ml | 果糖ぶどう糖液糖、砂糖 | 38.33g | 15.44g | 1.94g | 
| コカ・コーラライト 350ml | 果糖ぶどう糖液糖、砂糖 アスパルテーム・L-フェニルアラニン化合物 | 12.53 | 0.07 | 0.39 | 
| ペプシコーラ 600ml | 果糖ぶどう糖液糖 | 67.68 | 28.24 | 0.00 | 
| ダイエットペプシ 350ml | アスパルテーム・L-フェニルアラニン化合物 | 1.56 | 0.08 | 0.23 | 
| ミツヤサイダー 350ml | 果糖ぶどう糖液糖、砂糖 | 35.00 | 14.19 | 1.98 | 
| スプライトクール 350ml | 果糖ぶどう糖液糖 | 31.61 | 12.86 | 0.00 | 
| ラムネ 200ml | 果糖ぶどう糖液糖、砂糖 | 35.42 | 7.25 | 2.99 | 
| ファンタレモン 350ml | 果糖ぶどう糖液糖 | 36.93 | 14.85 | 0.00 | 
| キリンレモンセレクト 350ml | 果糖ぶどう糖液糖、砂糖 | 34.23 | 15.04 | 0.00 | 
| 【スポーツドリンク】 | ||||
| アクエリアス 350g | 果糖ぶどう糖液糖、砂糖 はちみつ | 18.55 | 0.39 | 0.52 | 
| アクエリアスレモン 350g | 果糖ぶどう糖液糖 マルチトール、エリスリトール アスパルテーム・L-フェニルアラニン化合物 | 14.63 | 2.67 | 0.33 | 
| ポカリスエット 340ml | 果糖ぶどう糖液糖、砂糖 | 23.02 | 5.92 | 10.03 | 
| ポカリスエットステビア 340ml | 果糖ぶどう糖液糖、砂糖 ステビア | 10.03 | 0.35 | 1.31 | 
| エネルゲン 340ml | 果糖 | 20.40 | 0.14 | 0.18 | 
| 【紅茶飲料】 | ||||
| 午後の紅茶ストレート 340g | 砂糖 | 16.56 | 0.46 | 15.04 | 
| 午後の紅茶ノンシュガー 340g | エリスリトール | 6.56 | 0.27 | 0.06 | 
| ティオ 340g | エリスリトール | 12.00 | 0.44 | 0.06 | 
| 【果実飲料】 | ||||
| トロピカーナ100% バレンシア 350g | 無表示 | 29.30 | 5.86 | 11.23 | 
| バヤリースオレンジ30% 350ml | 果糖 ぶどう糖液糖 | 37.38 | 13.29 | 2.27 | 
| 果汁100%リンゴ 200ml | 無表示 | 22.56 | 5.74 | 0.76 | 
| 【乳性飲料】 | ||||
| カルピス5倍希釈 500ml | 砂糖 | 11.58 | 1.43 | 5.55 | 
| ヤクルト 65ml | ぶどう糖果糖液糖、砂糖 | 11.97 | 3.70 | 1.48 | 
| 飲むヨーグルト 240ml | 砂糖 | 35.76 | 0.26 | 17.89 | 
| ミルミル 100ml | パラチノース | 22.63 | 0.40 | 0.40 | 
| 【コーヒー飲料】 | ||||
| ジョージアオリジナル 250g | 砂糖 | 24.08 | 0.34 | 16.97 | 
| ネスカフェエクセル(熱) 砂糖入り 175g | 無表示 | 8.81 | 0.15 | 8.38 | 
| ネスカフェエクセル(冷) 砂糖入り 125g | 無表示 | 8.90 | 0.14 | 7.25 | 


 中くらい虫歯は進行中であれば早めに治療することを
お勧めします。
麻酔をしないで治療できることもあり、一回で済みます。
進行が止まっていれば経過を見ますが半年に一度は検査をする必要があります。
市販の食べ物や飲み物には成分表示がされています。原材料に「砂糖」が入っているものは、虫歯の原因になる食品です。以下は、清涼飲料に含まれる「甘味成分」と「糖質含有量」を示した表です。
日頃、飲んでいる飲み物を確認してみてください。
「砂糖」の表示があって、「スクロース」の量が多いものは、虫歯に要注意です。
日常を綴ったブログです

金属の質を高め、また精密に作ることで長持ちさせます。
歯と同等の硬さに設定されていて衝撃に対応して変形する
性質があるので、咬み合わせに自然に適応します。
機能的にはもっとも優れた材料で、ももっとも長持ちする材料といえます。
歯を削ったところにペースト状のプラスティックを詰め込み、
光を当てて固めます。
歯を削る量が最小限にできるというメリットがあります。
虫歯が大きくなければ奥歯にも応用できます。
色も白くできるので、虫歯治療の主力です。
水を吸う性質があり、黄色や茶色に変色することが欠点です。
口の中を検査したら歯と歯の
間に虫歯が見つかりました
レントゲンでは虫歯が見当たりません。
当然、削る必要はありません。







 大きい虫歯はすぐに治療する必要があります。
痛みがあれば神経をとることもあります。
治療は2〜3回に分けて虫歯をとります。
この時麻酔をなるべくしないで虫歯をとります。
麻酔をすると削りすぎることがあり後で痛みが出る恐れがあるからです。
麻酔をしないのは不安に思われるかもしれませんが、
少しずつ削り痛みの出ないような治療をします。
そうすると治療後に痛みが出ることはありません。




(渡辺、謝花、鳥羽、水野ら 1999)


